Galerie 2
MIT použilo AI schopnou odhalit rakovinu prsu pět let před propuknutím
i Zdroj: Svět hardware
Aktualita Robotika, AI

MIT použilo AI schopnou odhalit rakovinu prsu pět let před propuknutím

Jan Vítek

Jan Vítek

Na Massachusetts Institute of Technology vznikla umělá inteligence, která dokáže i pět let dopředu odhalit rakovinu prsu, a to pomocí vcelku běžné metody. Ta využívá hluboké učení, s jehož pomocí se zkoumají obrázky, čili zde konkrétně snímky z mamografu.

Odměníme každého! Vyplňte komunitní průzkum a získejte luxusní ceny

Odměníme každého! Vyplňte komunitní průzkum a získejte luxusní ceny

Kdo jste, na čem a co hrajete, jaký obsah konzumujete a jaký vztah máte k AI? Věnujte nám pár minut a jako dárek za vyplnění získáte slevu na nákup a šanci získat také další luxusní ceny.

Reklama

Dá se tak uvažovat, že daná metoda by mohla být velice snadno zavedena do praxe, tedy pokud si to představíme jako Hurvínek válku a budeme uvažovat o tom, že jde prostě o využití AI pro zkoumání snímků z mamografu. Ty tak může prohlížet samotný lékař, ale mohou být i zaslány do cloudu, kde se k nim "vyjádří" i AI a ta případně může upozornit na objekty, které člověk snadno přehlédne. 

MIT použilo AI schopnou odhalit rakovinu prsu pět let před propuknutím

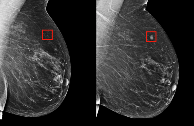
Máme tu i jeden příklad, kdy AI byla schopna odhalit počátek zhoubného bujení (vlevo) celé čtyři roky před tím, než se vytvořil nádor (vpravo). To je samozřejmě pouze příklad a výzkumníci v něm jen využili dostupné snímky, v jejichž případě už sami věděli výsledek, ale umělé inteligenci to samozřejmě "neřekli". 

A samozřejmě to nebyl jediný snímek mamografu, který byl pro trénování AI k dispozici. VE spolupráci s Massachusetts General Hospital (MGH) bylo využito přes 60 tisíc záznamů pacientů, v jejichž případě už byl známý vývoj a AI se na nich naučila rozeznávat i ty nejmenší známky, které může samotný lékař velice snadno přehlédnout a vůbec jej za to nelze vinit. Jednostranně zaměřená umělá inteligence to ale dokázat může. 

Profesorka Regina Barzilay z MIT také uvádí, jak by se mohla vytvořená AI zapojit do léčebného procesu. Ten díky ní může být upraven právě dle výstupu AI, která může ve výsledku doporučit, kteří pacienti či zde především pacientky mají docházet na mamograf časteji než jiní. Už nyní pro to existují modely, dle nichž je možné správně identifikovat 18 % pacientů s vysokým rizikem rozvinutí nemoci, přičemž AI tento podíl navyšuje na 31 % a zavádí skutečně osobní a individuální přístup k prevenci.


Reklama
Reklama

Komentáře

Nejsi přihlášený(á)

Pro psaní a hodnocení komentářů se prosím přihlas ke svému účtu nebo si jej vytvoř.

Rychlé přihlášení přes:

Reklama
Reklama
Reklama